Primary antibodies

Mono

Poly

Clone

Products

IMMUNOSAVER

dilution

CD1a

mono

O10

Immunotech

œ

stock

CD2

mono

AB75

Novocastra

œ

50

CD3

poly

Rabbit

DAKO

œ

500

CD4

mono

1F6

Novocastra

œ

25

CD5

mono

4C7

Novocastra

œ

200

CD7

mono

CD7-272

Novocastra

œ

50

CD8

mono

C8/144B

DAKO

œ

500

CD10

mono

56C6

Novocastra

œ

50

CD15

mono

Leu-M1

Becton Dickinson

œ

100

CD20

mono

L26

DAKO

œ

10000

CD21

mono

2G9

Novocastra

œ

50

CD23

mono

1B12

Novocastra

œ

200

CD25

mono

4C9

Novocastra

œ

100

CD30

mono

Ber-H2

DAKO

œ

200

CD34

mono

NU-4A1

Nichirei

œ

200

CD35

mono

RLB25

Novocastra

œ

50

CD38

mono

SPC32

Novocastra

œ

1000

CD43

mono

MT-1

Bio-Science

œ

200

CD45

mono

2B11+PD7/26

DAKO

œ

2000

CD45RA

mono

MB-1

Seikagaku kogyo

œ

500

CD45RO

mono

UCHL-1

DAKO

œ

700

CD56

mono

1B6

Novocastra

œ

100

CD57

mono

Leu-7

Becton Dickinson

œ

100

CD68

mono

KP-1

DAKO

œ

13000

CD68

mono

PGM-1

DAKO

œ

500

CD74

mono

LN2

Nichirei

œ

10

CD79a

mono

JCB1117

DAKO

œ

500

CD99

mono

12E7

DAKO

œ

1000

CD117

poly

Rabbit

DAKO

œ

300

Keratin, wide

mono

Z622

DAKO

œ

10000

CAM5.2

mono

 

 

œ

50

CK7

mono

OV-TL 12/30

DAKO

œ

1000

CK20

mono

Ks20.8

DAKO

œ

400

HMW

mono

34ƒΐE12

DAKO

œ

50

CA125

mono

M11

DAKO

œ

100

CyclinD1

mono

P2D11F11

Novocastra

œ

30

c-erb B2

poly

 

Nichirei

œ

200

GCDFP-15

mono

23A3

Novocastra

œ

1000

ER

mono

1D5

DAKO

œ

30

PgR

mono

PgR636

DAKO

œ

200

Ki-67

mono

MIB-1

DAKO

œ

1000

P53

poly

Rabbit

Novocastra

œ

15000

P63

mono

4A4

DAKO

œ

50

P80

mono

5A4

Novocastra

œ

200

PCNA

mono

PC10

DAKO

œ

10000

IgA

poly

Rabbit

DAKO

œ

10000

IgG

poly

Rabbit

MBL

œ

500000

IgM

poly

Rabbit

DAKO

œ

50000

ƒΘchain

poly

Rabbit

DAKO

œ

300000

ƒΙchain

poly

Rabbit

DAKO

œ

200000

Meran-A

mono

A103

DAKO

œ

30

MiTF

mono

Ab-3(5+D5)

NeoMarkers

œ

30

Hepatocyte

mono

OCH1E5

DAKO

œ

100

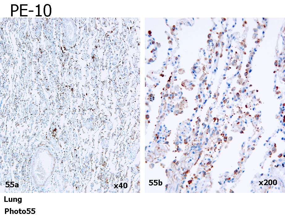
SP-A

mono

PE-10

DAKO

œ

500

TTF-1

mono

8G7G311

DAKO

œ

500

TdT

mono

SEN28

Novocastra

œ

50

Factor VIII

mono

F8/86

DAKO

œ

4000

bcl-2

mono

123

DAKO

œ

50

Granzymeƒΐ

mono

11F1

Novocastra

œ

200

TIA-1

mono

2G9

Immunotech

œ

200

LMP-1

mono

CS1-4

DAKO

œ

1000

Calretinine

poly

Rabbit

Zymed

œ

stock

D2-40

mono

D2-40

Signet

œ

stock

PAR-4 pdf

poly

Goat

Santa Cruz

œ

50

 

The dilution data of Immunosaver is a condition when staining it with Ventana NX system NX-IHC/20 of the VENTANA Co.Ltd